Condicionamiento positivo

En la charla del Prof. Luis Carretié sobre las emociones y sus bases en el cerebro aprendimos muchas cosas. Por ejemplo, el condicionamiento positivo que representa escuchar una interesante charla mientras se disfruta del chocolate, ya que el chocolate contiene varias sustancias que inciden positivamente en los circuitos cerebrales de las emociones.

 
(La emoción reflejada en nuestra cara es una forma esencial de comunicación.
Imagen tomada de la wikipedia)

Luis nos habló sobre las emociones inmediatas, necesarias para la comunicación, la reacción, la supervivencia; sobre aquellas que perduran en el tiempo; y sobre aquellas que son características del temperamento individual. También habló de las zonas del cerebro que intervienen en su procesamiento, de los circuitos de los que dependen y de algunas moléculas implicadas.

Luis nos ha dejado algunos de los enlaces que preparó para su charla:
¡A ver si eres capaz de contar los pases del equipo blanco!

Y también nos deja el enlace a la página que está elaborando para personas interesadas en el funcionamiento del cerebro.


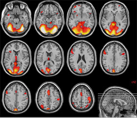
(Actividad cerebral en respuesta a emociones faciales.
Imágenes de resonancia magnética funcional tomada de un artículo científico)
 
Mientras organizábamos su charla, tuvimos una discusión científica del tipo “botella medio llena – botella medio vacía”. Luis, psicobiólogo, está entusiasmado con el avance que representa adscribir una emoción a un área y a un circuito cerebrales. Yo, neurobiólogo molecular, estoy deseoso de que se llegue a poder describir las reacciones bioquímicas cerebrales que subyacen a una emoción. Seguro que desde la colaboración entre los campos de la neurociencia lograremos avanzar en la comprensión de nuestro cerebro y, consecuentemente, en el desarrollo de mejores tratamientos para los devastadores trastornos neurológicos.

 
 

¿Sigue siendo el cerebro un gran desconocido?

Desde las diversas ramas de la neurociencia (psicobiología, neurobiología, neuropsicología, neurogenética) se está profundizando en el estudio y la comprensión de ese órgano donde situamos la esencia del ser humano. Y lo que la ciencia nos va revelando son importantes similitudes, así como una evolución gradual desde los organismos más simples hasta nosotros, en los genes, los procesos celulares y las funciones.

(Imagen original del Dr. Woutergroen, tomada de wikimedia commons)

Vamos a dedicar al cerebro varias charlas en Ciencia con chocolate, empezando por aquello que, posiblemente, compartimos todos los organismos: las emociones.

El Prof. Luis Carretié nos ilustrará sobre la función y la utilidad de las emociones, así como sobre las estructuras cerebrales responsables de que experimentemos y expresemos emociones. Y, también, de las consecuencias del mal funcionamiento de estas estructuras. Nos hablará de la relación entre emoción y cognición, de si se pueden manejar independientemente y de si conviene hacerlo. Seguro que al final de la charla ya no pensarás en tu cerebro como un gran desconocido.
 
Luis Carretié Arangüena es catedrático de Psicobiología en la Universidad Autónoma de Madrid. Coordina el grupo de investigación “Cerebro, Afecto y Cognición” (http://www.uam.es/CEACO), que cuenta con investigadores de distintas universidades y centra su actividad en el estudio de las bases neurales de los procesos cognitivos y emocionales. Dicha actividad ha dado lugar a numerosas publicaciones en revistas científicas de gran prestigio dentro del ámbito de la Neurociencia cognitiva y afectiva. Ha sido presidente de la Sociedad Española de Psicofisiología y Neurociencia cognitiva y afectiva (SEPNECA: http://www.uam.es/SEPNECA).
 

El cerebro emocional.
Prof. Luis Carretié, Doctor en Psicología, Catedrático de Psicobiología de la Universidad Autónoma de Madrid.
Donde:
Chocolatería Valor, C/ Ibiza 33, Madrid.
Cuando:
Jueves, 21 de marzo, de 20:00 a 21:30.
Entrada libre Aforo limitado - Consumición no incluida.
Varias Sociedades y Asociaciones Científicas apoyan la implicación de los científicos en la divulgación rigurosa de los resultados de la investigación a la sociedad.